二重まぶた・目もとの症例写真
平日23時まで診療。医療機関だからこその効果と安全性。口コミ評価急上昇中の渋クリの二重まぶた・目もとの症例写真のご案内です。初めての患者様には切らない施術で簡単に施術を提供。確実に変身したい患者様には切る施術で確実に施術を提供します。安心価格エステサロンからの乗り換えも多数です。
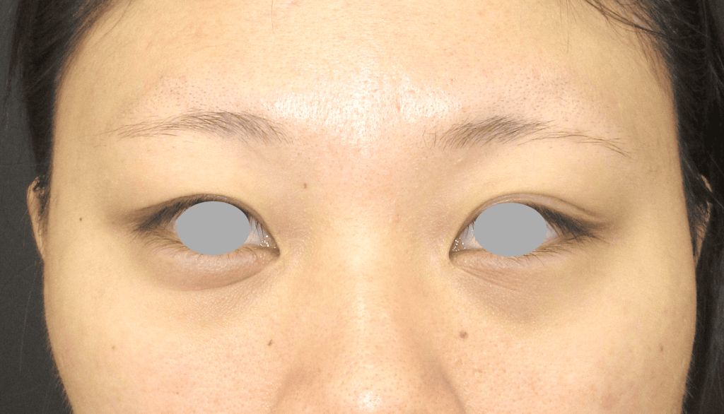
二重まぶた埋没法
二重まぶた埋没法(2点留め)
Before

After

| 施術名 | 二重まぶた2点埋没法 |
| 説明 | まぶたの裏側を糸で2カ所留めてくせ付けをする施術 |
| 副作用 | 熱感・痒み・むくみ・発熱・左右差など |
| 料金 | ¥63,250~¥76,780 |
二重まぶた埋没法(2点留め)
Before

After

| 施術名 | 二重まぶた2点埋没法 |
| 説明 | まぶたの裏側を糸で2カ所留めてくせ付けをする施術 |
| 副作用 | 熱感・痒み・むくみ・発熱・左右差など |
| 料金 | ¥63,250~¥76,780 |
二重まぶた埋没法(2点留め)
Before

After

| 施術名 | 二重まぶた2点埋没法 |
| 説明 | まぶたの裏側を糸で2カ所留めてくせ付けをする施術 |
| 副作用 | 熱感・痒み・むくみ・発熱・左右差など |
| 料金 | ¥63,250~¥76,780 |
二重まぶた埋没法(2点留め)
Before

After

| 施術名 | 二重まぶた2点埋没法 |
| 説明 | まぶたの裏側を糸で2カ所留めてくせ付けをする施術 |
| 副作用 | 熱感・痒み・むくみ・発熱・左右差など |
| 料金 | ¥63,250~¥76,780 |
二重まぶた埋没法(2点留め)
Before

After

| 施術名 | 二重まぶた2点埋没法 |
| 説明 | まぶたの裏側を糸で2カ所留めてくせ付けをする施術 |
| 副作用 | 熱感・痒み・むくみ・発熱・左右差など |
| 料金 | ¥63,250~¥76,780 |
二重まぶた埋没法(2点留め)
Before

After

| 施術名 | 二重まぶた2点埋没法 |
| 説明 | まぶたの裏側を糸で2カ所留めてくせ付けをする施術 |
| 副作用 | 熱感・痒み・むくみ・発熱・左右差など |
| 料金 | ¥63,250~¥76,780 |
二重まぶた埋没法(1点留め)
Before

After

| 施術名 | 二重まぶた2点埋没法 |
| 説明 | まぶたの裏側を糸で2カ所留めてくせ付けをする施術 |
| 副作用 | 熱感・痒み・むくみ・発熱・左右差など |
| 料金 | ¥63,250~¥76,780 |
二重まぶた埋没法(2点留め)
Before

After

| 施術名 | 二重まぶた2点埋没法 |
| 説明 | まぶたの裏側を糸で2カ所留めてくせ付けをする施術 |
| 副作用 | 熱感・痒み・むくみ・発熱・左右差など |
| 料金 | ¥63,250~¥76,780 |
二重まぶた埋没法(2点留め)
Before

After

| 施術名 | 二重まぶた2点埋没法 |
| 説明 | まぶたの裏側を糸で2カ所留めてくせ付けをする施術 |
| 副作用 | 熱感・痒み・むくみ・発熱・左右差など |
| 料金 | ¥63,250~¥76,780 |
二重まぶた埋没法(2点留め)
Before

After

| 施術名 | 二重まぶた2点埋没法 |
| 説明 | まぶたの裏側を糸で2カ所留めてくせ付けをする施術 |
| 副作用 | 熱感・痒み・むくみ・発熱・左右差など |
| 料金 | ¥63,250~¥76,780 |
二重まぶた埋没法(2点留め)
Before

After

| 施術名 | 二重まぶた2点埋没法 |
| 説明 | まぶたの裏側を糸で2カ所留めてくせ付けをする施術 |
| 副作用 | 熱感・痒み・むくみ・発熱・左右差など |
| 料金 | ¥63,250~¥76,780 |
二重まぶた埋没法(2点留め)
Before

After

| 施術名 | 二重まぶた2点埋没法 |
| 説明 | まぶたの裏側を糸で2カ所留めてくせ付けをする施術 |
| 副作用 | 熱感・痒み・むくみ・発熱・左右差など |
| 料金 | ¥63,250~¥76,780 |
二重まぶた埋没法(3点留め)
Before

After

| 施術名 | 二重まぶた3点埋没法 |
| 説明 | まぶたの裏側を糸で3カ所留めてくせ付けをする施術 |
| 副作用 | 熱感・頭痛・蕁麻疹・痒み・むくみ・発熱・左右差など |
| 料金 | ¥88,550~¥151,800 |
二重まぶた埋没法(3点留め)
Before

After

| 施術名 | 二重まぶた3点埋没法 |
| 説明 | まぶたの裏側を糸で3カ所留めてくせ付けをする施術 |
| 副作用 | 熱感・痒み・むくみ・発熱・左右差など |
| 料金 | ¥88,550~¥151,800 |
二重まぶた埋没法(3点留め)
Before

After

| 施術名 | 二重まぶた3点埋没法 |
| 説明 | まぶたの裏側を糸で3カ所留めてくせ付けをする施術 |
| 副作用 | 熱感・痒み・むくみ・発熱・左右差など |
| 料金 | ¥88,550~¥151,800 |
二重まぶた小切開法
二重まぶた小切開法
Before

After

| 施術名 | 二重まぶた小切開法 |
| 説明 | 二重ラインに沿った数ミリの切開と縫合で二重のくせをつける施術 |
| 副作用 | 熱感・頭痛・蕁麻疹・痒み・むくみ・発熱・左右差など |
| 料金 | ¥126,500~¥189,750 |
二重まぶた小切開法
Before

After

| 施術名 | 二重まぶた小切開法 |
| 説明 | 二重ラインに沿った数ミリの切開と縫合で二重のくせをつける施術 |
| 副作用 | 熱感・頭痛・蕁麻疹・痒み・むくみ・発熱・左右差など |
| 料金 | ¥126,500~¥189,750 |
二重まぶた小切開法
Before

After

| 施術名 | 二重まぶた小切開法 |
| 説明 | 二重ラインに沿った数ミリの切開と縫合で二重のくせをつける施術 |
| 副作用 | 熱感・頭痛・蕁麻疹・痒み・むくみ・発熱・左右差など |
| 料金 | ¥126,500~¥189,750 |
目頭切開
目頭切開
Before

After

| 施術名 | 目頭切開 |
| 説明 | 目頭(目の内側の角)にある蒙古ひだを切開し、目の横幅を広げて、目元を大きく、はっきりとした印象にする施術。目と目の距離が離れている方や、切れ長な目元を希望される方に適しています。 |
| 副作用 | 腫れ・内出血・むくみ・左右差・赤み・違和感・感染症・瘢痕形成など |
| 料金 | ¥379,500 |
二重まぶた全切開
二重まぶた全切開(脂肪処理付き)
Before

After

| 施術名 | 二重まぶた全切開 |
| 説明 | 皮膚を切開して皮下の眼輪筋や瞼板・眼窩隔膜などを処理する施術 |
| 副作用 | 熱感・頭痛・蕁麻疹・痒み・むくみ・発熱・左右差など |
| 料金 | ¥189,750~¥316,250 |
二重まぶた全切開
Before

After

| 施術名 | 二重まぶた全切開 |
| 説明 | 皮膚を切開して皮下の眼輪筋や瞼板・眼窩隔膜などを処理する施術 |
| 副作用 | 熱感・頭痛・蕁麻疹・痒み・むくみ・発熱・左右差など |
| 料金 | ¥189,750~¥316,250 |
二重まぶた全切開(他院修正)
Before

After

| 施術名 | 二重まぶた全切開 |
| 説明 | 皮膚を切開して皮下の眼輪筋や瞼板・眼窩隔膜などを処理する施術 |
| 副作用 | 熱感・頭痛・蕁麻疹・痒み・むくみ・発熱・左右差など |
| 料金 | ¥189,750~¥316,250 |
下まぶた脂肪除去・下眼瞼脱脂
下まぶた脂肪除去
Before

After

| 施術名 | 下眼瞼脱脂 |
| 説明 | 下まつ毛の生え際を切開して目の下の余分な脂肪を取り除く施術 |
| 副作用 | 熱感・頭痛・蕁麻疹・痒み・むくみ・発熱・左右差など |
| 料金 | ¥379,500 |
下まぶた脂肪除去
Before

After

| 施術名 | 下眼瞼脱脂 |
| 説明 | 下まつ毛の生え際を切開して目の下の余分な脂肪を取り除く施術 |
| 副作用 | 熱感・頭痛・蕁麻疹・痒み・むくみ・発熱・左右差など |
| 料金 | ¥379,500 |
下まぶた脂肪除去
Before

After

| 施術名 | 下眼瞼脱脂 |
| 説明 | 下まつ毛の生え際を切開して目の下の余分な脂肪を取り除く施術 |
| 副作用 | 熱感・頭痛・蕁麻疹・痒み・むくみ・発熱・左右差など |
| 料金 | ¥379,500 |
下まぶた脂肪除去
Before

After

| 施術名 | 下眼瞼脱脂 |
| 説明 | 下まつ毛の生え際を切開して目の下の余分な脂肪を取り除く施術 |
| 副作用 | 熱感・頭痛・蕁麻疹・痒み・むくみ・発熱・左右差など |
| 料金 | ¥379,500 |
下まぶた脂肪除去
Before

After

| 施術名 | 下眼瞼脱脂 |
| 説明 | 下まつ毛の生え際を切開して目の下の余分な脂肪を取り除く施術 |
| 副作用 | 熱感・頭痛・蕁麻疹・痒み・むくみ・発熱・左右差など |
| 料金 | ¥379,500 |
下まぶた脂肪除去
Before

After

| 施術名 | 下眼瞼脱脂 |
| 説明 | 下まつ毛の生え際を切開して目の下の余分な脂肪を取り除く施術 |
| 副作用 | 熱感・頭痛・蕁麻疹・痒み・むくみ・発熱・左右差など |
| 料金 | ¥379,500 |
下まぶた脂肪除去
Before

After

| 施術名 | 下眼瞼脱脂 |
| 説明 | 下まつ毛の生え際を切開して目の下の余分な脂肪を取り除く施術 |
| 副作用 | 熱感・頭痛・蕁麻疹・痒み・むくみ・発熱・左右差など |
| 料金 | ¥379,500 |
下まぶた脂肪除去
Before

After

| 施術名 | 下眼瞼脱脂 |
| 説明 | 下まつ毛の生え際を切開して目の下の余分な脂肪を取り除く施術 |
| 副作用 | 熱感・頭痛・蕁麻疹・痒み・むくみ・発熱・左右差など |
| 料金 | ¥379,500 |
下まぶた脂肪除去
Before

After

| 施術名 | 下眼瞼脱脂 |
| 説明 | 下まつ毛の生え際を切開して目の下の余分な脂肪を取り除く施術 |
| 副作用 | 熱感・頭痛・蕁麻疹・痒み・むくみ・発熱・左右差など |
| 料金 | ¥379,500 |
下まぶた脂肪除去
Before

After

| 施術名 | 下眼瞼脱脂 |
| 説明 | 下まつ毛の生え際を切開して目の下の余分な脂肪を取り除く施術 |
| 副作用 | 熱感・頭痛・蕁麻疹・痒み・むくみ・発熱・左右差など |
| 料金 | ¥379,500 |
下まぶた脂肪除去
Before

After

| 施術名 | 下眼瞼脱脂 |
| 説明 | 下まつ毛の生え際を切開して目の下の余分な脂肪を取り除く施術 |
| 副作用 | 熱感・頭痛・蕁麻疹・痒み・むくみ・発熱・左右差など |
| 料金 | ¥379,500 |
下まぶた脂肪除去
Before

After

| 施術名 | 下眼瞼脱脂 |
| 説明 | 下まつ毛の生え際を切開して目の下の余分な脂肪を取り除く施術 |
| 副作用 | 熱感・頭痛・蕁麻疹・痒み・むくみ・発熱・左右差など |
| 料金 | ¥379,500 |
裏ハムラ
下まぶた脂肪除去
Before

After

| 施術名 | 裏ハムラ法 |
| 説明 | 目の下の余分な脂肪を切除せずに移動させて、くぼみに埋める施術 |
| 副作用 | 熱感・頭痛・蕁麻疹・痒み・むくみ・発熱・左右差など |
| 料金 | ¥379,500 |
ヒアルロン酸(涙袋)
ヒアルロン酸(涙袋)
Before

After

| 施術名 | ヒアルロン酸(涙袋) |
| 説明 | 注入による隆起で深いシワの改善や涙袋・鼻などを造形する施術 |
| 副作用 | 内出血・発赤・腫れ・痛み・熱感・硬結・違和感など |
| 料金 | ¥2,728~¥52,800 |
ヒアルロン酸(涙袋)
Before

After

| 施術名 | ヒアルロン酸(涙袋) |
| 説明 | 注入による隆起で深いシワの改善や涙袋・鼻などを造形する施術 |
| 副作用 | 内出血・発赤・腫れ・痛み・熱感・硬結・違和感など |
| 料金 | ¥2,728~¥52,800 |
ヒアルロン酸(涙袋)
Before

After

| 施術名 | ヒアルロン酸(涙袋) |
| 説明 | 注入による隆起で深いシワの改善や涙袋・鼻などを造形する施術 |
| 副作用 | 内出血・発赤・腫れ・痛み・熱感・硬結・違和感など |
| 料金 | ¥2,728~¥52,800 |
ヒアルロン酸(涙袋)
Before

After

| 施術名 | ヒアルロン酸(涙袋) |
| 説明 | 注入による隆起で深いシワの改善や涙袋・鼻などを造形する施術 |
| 副作用 | 内出血・発赤・腫れ・痛み・熱感・硬結・違和感など |
| 料金 | ¥2,728~¥52,800 |
ヒアルロン酸(涙袋)
Before

After

| 施術名 | ヒアルロン酸(涙袋) |
| 説明 | 注入による隆起で深いシワの改善や涙袋・鼻などを造形する施術 |
| 副作用 | 内出血・発赤・腫れ・痛み・熱感・硬結・違和感など |
| 料金 | ¥2,728~¥52,800 |
ヒアルロン酸(涙袋)
Before

After

| 施術名 | ヒアルロン酸(涙袋) |
| 説明 | 注入による隆起で深いシワの改善や涙袋・鼻などを造形する施術 |
| 副作用 | 内出血・発赤・腫れ・痛み・熱感・硬結・違和感など |
| 料金 | ¥2,728~¥52,800 |
ヒアルロン酸(涙袋)
Before

After

| 施術名 | ヒアルロン酸(涙袋) |
| 説明 | 注入による隆起で深いシワの改善や涙袋・鼻などを造形する施術 |
| 副作用 | 内出血・発赤・腫れ・痛み・熱感・硬結・違和感など |
| 料金 | ¥2,728~¥52,800 |
ヒアルロン酸(涙袋)
Before

After

| 施術名 | ヒアルロン酸(涙袋) |
| 説明 | 注入による隆起で深いシワの改善や涙袋・鼻などを造形する施術 |
| 副作用 | 内出血・発赤・腫れ・痛み・熱感・硬結・違和感など |
| 料金 | ¥2,728~¥52,800 |
ヒアルロン酸(涙袋)
Before

After

| 施術名 | ヒアルロン酸(涙袋) |
| 説明 | 注入による隆起で深いシワの改善や涙袋・鼻などを造形する施術 |
| 副作用 | 内出血・発赤・腫れ・痛み・熱感・硬結・違和感など |
| 料金 | ¥2,728~¥52,800 |
ヒアルロン酸(涙袋)
Before

After

| 施術名 | ヒアルロン酸(涙袋) |
| 説明 | 注入による隆起で深いシワの改善や涙袋・鼻などを造形する施術 |
| 副作用 | 内出血・発赤・腫れ・痛み・熱感・硬結・違和感など |
| 料金 | ¥2,728~¥52,800 |
ヒアルロン酸(涙袋)
Before

After

| 施術名 | ヒアルロン酸(涙袋) |
| 説明 | 注入による隆起で深いシワの改善や涙袋・鼻などを造形する施術 |
| 副作用 | 内出血・発赤・腫れ・痛み・熱感・硬結・違和感など |
| 料金 | ¥2,728~¥52,800 |
ヒアルロン酸(涙袋)
Before

After

| 施術名 | ヒアルロン酸(涙袋) |
| 説明 | 注入による隆起で深いシワの改善や涙袋・鼻などを造形する施術 |
| 副作用 | 内出血・発赤・腫れ・痛み・熱感・硬結・違和感など |
| 料金 | ¥2,728~¥52,800 |
ヒアルロン酸(涙袋)
Before

After

| 施術名 | ヒアルロン酸(涙袋) |
| 説明 | 注入による隆起で深いシワの改善や涙袋・鼻などを造形する施術 |
| 副作用 | 内出血・発赤・腫れ・痛み・熱感・硬結・違和感など |
| 料金 | ¥2,728~¥52,800 |
ヒアルロン酸(涙袋)
Before

After

| 施術名 | ヒアルロン酸(涙袋) |
| 説明 | 注入による隆起で深いシワの改善や涙袋・鼻などを造形する施術 |
| 副作用 | 内出血・発赤・腫れ・痛み・熱感・硬結・違和感など |
| 料金 | ¥2,728~¥52,800 |
ヒアルロン酸(涙袋)
Before

After

| 施術名 | ヒアルロン酸(涙袋) |
| 説明 | 注入による隆起で深いシワの改善や涙袋・鼻などを造形する施術 |
| 副作用 | 内出血・発赤・腫れ・痛み・熱感・硬結・違和感など |
| 料金 | ¥2,728~¥52,800 |
ヒアルロン酸(涙袋)
Before

After

| 施術名 | ヒアルロン酸(涙袋) |
| 説明 | 注入による隆起で深いシワの改善や涙袋・鼻などを造形する施術 |
| 副作用 | 内出血・発赤・腫れ・痛み・熱感・硬結・違和感など |
| 料金 | ¥2,728~¥52,800 |
ヒアルロン酸(涙袋)
Before

After

| 施術名 | ヒアルロン酸(涙袋) |
| 説明 | 注入による隆起で深いシワの改善や涙袋・鼻などを造形する施術 |
| 副作用 | 内出血・発赤・腫れ・痛み・熱感・硬結・違和感など |
| 料金 | ¥2,728~¥52,800 |
ヒアルロン酸(涙袋)
Before

After

| 施術名 | ヒアルロン酸(涙袋) |
| 説明 | 注入による隆起で深いシワの改善や涙袋・鼻などを造形する施術 |
| 副作用 | 内出血・発赤・腫れ・痛み・熱感・硬結・違和感など |
| 料金 | ¥2,728~¥52,800 |
ヒアルロン酸(涙袋)
Before

After

| 施術名 | ヒアルロン酸(涙袋) |
| 説明 | 注入による隆起で深いシワの改善や涙袋・鼻などを造形する施術 |
| 副作用 | 内出血・発赤・腫れ・痛み・熱感・硬結・違和感など |
| 料金 | ¥2,728~¥52,800 |
ヒアルロン酸(涙袋)
Before

After

| 施術名 | ヒアルロン酸(涙袋) |
| 説明 | 注入による隆起で深いシワの改善や涙袋・鼻などを造形する施術 |
| 副作用 | 内出血・発赤・腫れ・痛み・熱感・硬結・違和感など |
| 料金 | ¥2,728~¥52,800 |
ヒアルロン酸(涙袋)
Before

After

| 施術名 | ヒアルロン酸(涙袋) |
| 説明 | 注入による隆起で深いシワの改善や涙袋・鼻などを造形する施術 |
| 副作用 | 内出血・発赤・腫れ・痛み・熱感・硬結・違和感など |
| 料金 | ¥2,728~¥52,800 |
ヒアルロン酸(涙袋)
Before

After

| 施術名 | ヒアルロン酸(涙袋) |
| 説明 | 注入による隆起で深いシワの改善や涙袋・鼻などを造形する施術 |
| 副作用 | 内出血・発赤・腫れ・痛み・熱感・硬結・違和感など |
| 料金 | ¥2,728~¥52,800 |
ヒアルロン酸(涙袋)
Before

After

| 施術名 | ヒアルロン酸(涙袋) |
| 説明 | 注入による隆起で深いシワの改善や涙袋・鼻などを造形する施術 |
| 副作用 | 内出血・発赤・腫れ・痛み・熱感・硬結・違和感など |
| 料金 | ¥2,728~¥52,800 |
※症例写真の画像処理は一切行っておりません。
※症例の掲載にご承諾いただいた写真のみを掲載しています。
掲載以外の症例写真については診察・カウンセリング時にお見せしております。
症例写真は個人情報の厳正な管理、医療広告ガイドライン、ご本人の承諾範囲に伴う提示ルールに則っています。







































